Pictorial health warnings on tobacco products database
This online resource provides access to pictorial health warnings to be used or adapted by countries and Parties to the WHO Framework Convention on Tobacco Control (WHO FCTC) to warn the public about the dangers of tobacco use.
Article 11 of the WHO FCTC requires Parties to the Convention to implement large and rotating health warnings on all tobacco products packaging and labelling. According to a decision by the 3rd Conference of Parties to the WHO FCTC (FCTC/COP3(10)), WHO is responsible for maintaining a database of Member States’ pictorial health warnings for tobacco products (also known as warning labels).
In case a Party to the WHO FCTC would like to use pictorial warnings from another Party, the request is handled by the WHO FCTC Secretariat. WHO addresses requests coming from Non-Parties and from Non-State actors.
Database entries
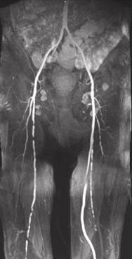
Smoking clogs the arteries and causes heart attacks and strokes - Ukraine

Copyright
Rights to this image are owned by the European Union. To receive information on conditions for use, requests should be addressed to:
Convention Secretariat
WHO Framework Convention on Tobacco Control
E-mail: [email protected]
Fax: +41 22 791 5830
Related health topic
Related links
Related team